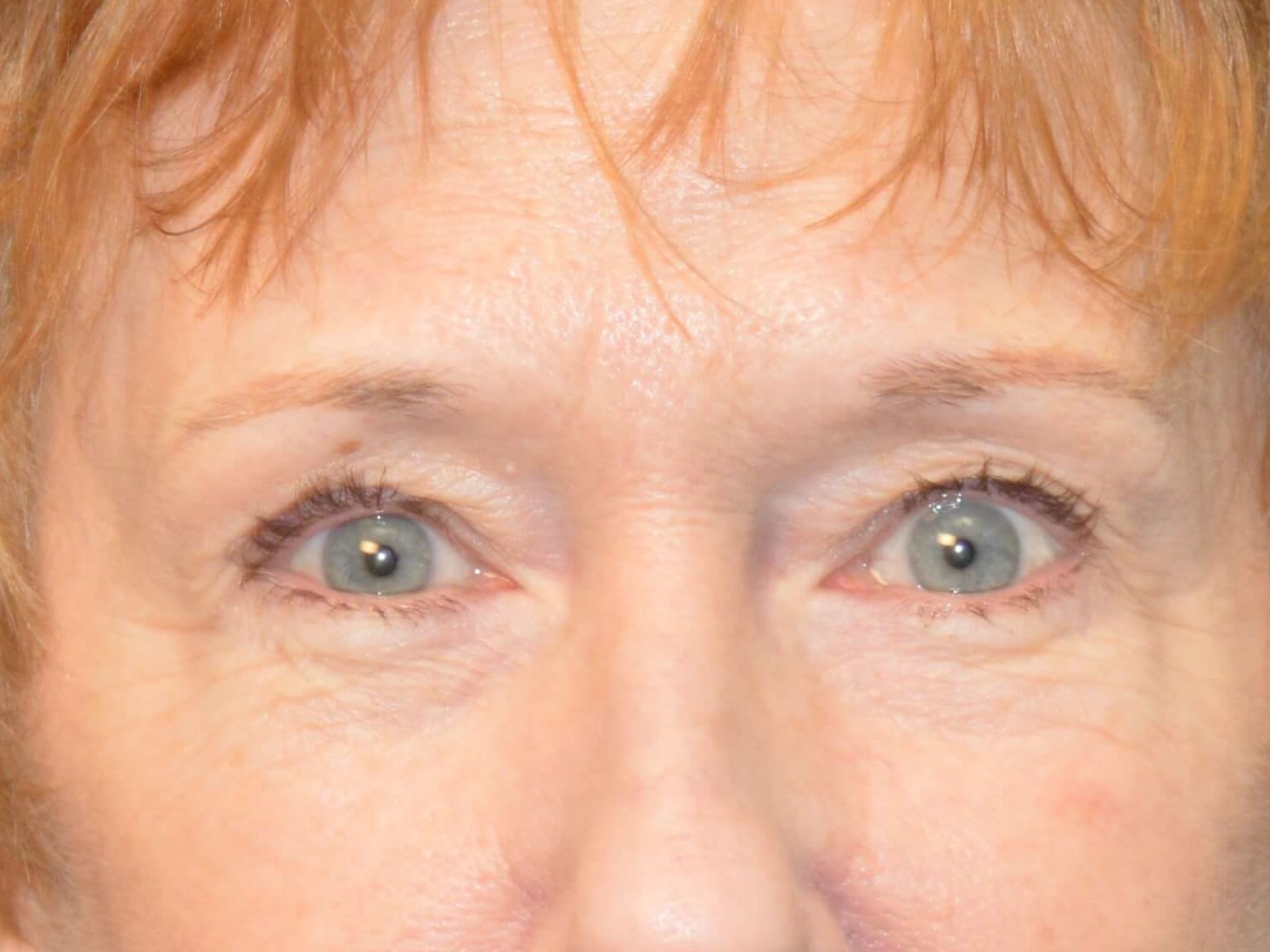
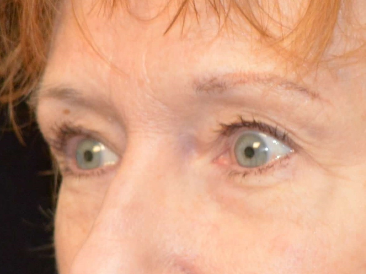
Results of Upper and Lower eyelid blepharoplasty for Chicago Area Woman
Patient
- Age:
- undisclosed
- Gender:
- Female
- Ethnicity:
- White
- Height:
- Undisclosed
- Weight:
- Undisclosed
- Gallery:
- 42736
Profile
Plastic Surgeon
708-816-2400
Procedure Details
Location
Popular Searches
*All information subject to change. Images may contain models. Individual results are not guaranteed and may vary.
